MS yani Multiple Skleroz, beyinde ve omurilikte, sinirlerin etrafını saran kılıfı (miyelin kılıf) etkileyen kronik bir merkezi sinir sistemi hastalığıdır.
MS hastalığı adını lezyonların özelliklerinden almıştır. Â
–        Merkezi sinir sisteminin birden çok yerinde (beyin, beyin sapı, beyincik, omurilik) hasar görülebilir. (multiple)Â
–        Hasar görülen yerde sert bir doku geliÅŸir. (skleroz)Â
Ms’te etkilenen sinir liflerini saran miyelin kılıf, beyin ve vücudun diÄŸer kısımları arasında sinir uyarılarının iletilmesini saÄŸlar. Bu iletilen uyarılar kas hareketlerini kontrol eder. Bu kılıfın hasara uÄŸraması sonucu mesajlar iletilemez ve sinir iletiminde kısmi blokajlar oluÅŸur. Sinir iletimindeki blokajlar sonucu his ve görme problemleri, kas zayıflığı gibi nörolojik bulgular ortaya çıkabilir.Â

Günümüzde hala MS’in ortaya çıkış sebebi belli değildir.
MS’in ortaya çıkışında genetik yatkınlık, bağışıklık sistemi mekanizması, viral enfeksiyonlar ve çevresel faktörlerin etkili olduÄŸu düşünülmektedir. Son yıllarda yapılan araÅŸtırmalara göre sigara kullanımı ve düşük D vitamini seviyesi MS riskini arttıran çevresel faktörlerdendir.Â
MS, çoÄŸunlukla 20-40 yaÅŸları arasında ortaya çıkar. Kadınlarda erkeklere oranla daha sık görülür. Kadınlarda görülme sıklığı günden güne daha da artmaktadır. Yapılan prevalans çalışmalarına göre kuzey yarım kürede ve sosyoekonomik olarak avantajlı bölgelerde daha sık görülür.Â
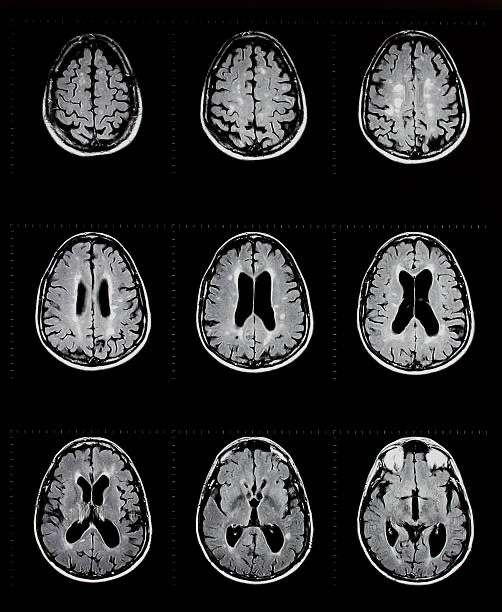
MS’te tanı uzman hekim tarafından MR görüntüleme, beyin omurilik sıvısı (BOS) inceleme ve nörofizyolojik tetkikler yapılarak konur.

MS BELİRTİLERİÂ
– Motor güçsüzlükÂ
– Yürüme bozukluÄŸu
– Kas zayıflığı
– Yorgunluk
– Çift görme
– Mesane ve bağırsak problemleri
– Duyusal bozukluklar
– Nadir de olsa hemipleji (felç)
– AÄŸrı, ısı ve dokunma duyusunun bozukluÄŸu
– Seksüel fonksiyon bozukluÄŸu
– Depresyon
MS’TE FİZYOTERAPİ VE REHABİLİTASYONÂ

MS’te fiziksel ve kognitif bozuklukların dışında emosyonel ve sosyal bir etkilenim de olduğu için rehabilitasyon planı buna uygun şekilde düzenlenmelidir.
MS’te fizyoterapi, bireye maksimum fonksiyonel kapasite kazandırmayı, özürlülüğün ve engelliliğin giderilmesi veya en aza indirilmesini, yaşam kalitesinin artmasını ve kişinin topluma yeniden kazandırılmasını amaçlar. Fizyoterapi süreci tanı sonrası başlar ve evde, işte, sosyal yaşantıda sürdürülebilir bir biçimde devam eder.
MS’te kas güçsüzlüğü için bireye özel ve tablonun seyrine göre kuvvetlendirme, mobilite, genel kondisyon egzersizleri ve vücut ısısını veya yorgunluğu arttırmadan yapılan aerobik egzersizlerden oluşan bir program oluşturulur.
Düzenli egzersiz MS’te stres ve yorgunluÄŸu azaltır.Â
Yorgunluk kiÅŸilerin en çok ÅŸikayet ettiÄŸi semptomlardan biridir. Bu yüzden fizyoterapi programında ve gündelik yaÅŸamda en çok dikkat edilmesi gereken konulardandır. YorgunluÄŸu aşırı yorgunluk hissi, enerji yoksunluÄŸu veya tükenmiÅŸ hissetmek olarak tanımlayan MS’li bireylerde bu durumu yönetebilmek için egzersizler sırasında sık sık mola verilmeli, vücut ve ortamın ısısına dikkat edilmelidir. Buna ek olarak gündelik yaÅŸamda enerji tasarruf teknikleri öğretilmelidir. Serin duÅŸ ve buz uygulaması da faydalı olmaktadır.Â
MS’te beslenme çok önemli.

MS’in etkilerine iliÅŸkin güncel araÅŸtırmalar bol miktarda meyve, sebze, tahıl ve balık yemeyi, kırmızı et ve süt ürünlerini ise ölçülü tüketmeyi öneriyor.
Kronikleşen semptomlara bağlı olarak yüklenme kapasitesi düşen MS’li bireylerde kilo kontrolünün sağlanmasının, sigara ve alkol tüketiminin kısıtlanmasının, uyku ve stres yönetiminin fizyoterapi süreci için çok önemli bir rolü olduğundan multidisipliner bir çalışma ile ilerlenmelidir.
